ENDODONCIA ROTATORIA AVANZADA
El tratamiento endodóncico consiste en retirar el tejido infectado o dañado del interior de una pieza dentaria. Este tejido, llamado pulpa, contiene nervios y vasos sanguíneos.
Las causas más frecuentes del deterioro de la pulpa dental pueden ser una caries profunda, un traumatismo dentario, un empaste roto o la enfermedad periodontal, conocida vulgarmente como piorrea.
¿Cuál es la ventaja del tratamiento endodóncico?
Salvar un diente o una muela que de otra forma debería ser extraído. Una vez que la pulpa se retira, el diente continúa en su sitio sustentado por el conjunto del hueso maxilar y los tejidos que le rodean. Lógicamente el diente desvitalizado es más eficaz al morder y masticar que un diente artificial.
¿Qué pasos se dan para realizar una endodoncia convencional?
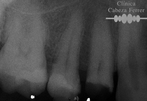
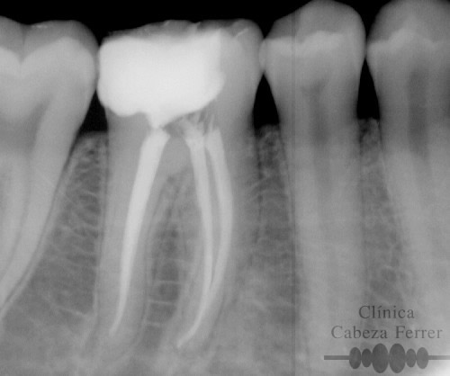
En primer lugar se explora la pieza y se realiza un estudio radiológico. Si es necesario se pone anestesia local y se aísla en diente para mantenerlo limpio y seco durante el tratamiento. A continuación con el instrumental adecuado se realiza un orificio en la corona del diente y a través de él, mediante unos pequeños instrumentos llamados LIMAS, se extrae la pulpa. Posteriormente la cámara pulpar y los conductos radiculares se limpian, se esterilizan, se rellenan y se sellan herméticamente. Con un control radiológico se comprueba que el tratamiento se ha realizado correctamente. Ahora es el momento de reconstruir la anatomía del diente y si es necesario recubrirle con una corona para evitar su posterior fractura. En la mayoría de los casos, la endodoncia se realiza en una sola sesión.
Endodoncia rotatoria avanzada
La endodoncia rotatoria avanzada es una novedosa técnica de instrumentación mecanizada que se realiza con un tipo de limas especiales de níquel-titanio. El auge del níquel-titanio surgió en la década de los sesenta, al ser utilizado por la NASA, principalmente en la fabricación de antenas de naves y satélites espaciales. Es este material, el que impulsa el desarrollo de los sistemas rotatorios en endodoncia. Estos instrumentos tienen la característica de de ser muy flexibles, por lo que pueden trabajar dentro de los conductos radiculares impulsados por un motor de baja velocidad, ejecutando una rotación de 360º hasta en los conductos curvos. De esta manera se combina la instrumentación manual convencional con la mecanizada consiguiendo así un resultado final con alta precisión, mejor limpieza, irrigación y terminación de los conductos, menos fracasos y unas restauraciones más duraderas.
Los sistemas rotatorios constituyen la tercera generación en el perfeccionamiento y simplificación del tratamiento de los conductos de las raíces, y pueden ser considerados como un cambio radical en la actividad diaria del endodoncista, permitiendo una reducción en el tiempo del trabajo y mayor calidad en beneficio del paciente.
¿Se está usted preguntando cuánto cuesta una endodoncia?
El coste de un tratamiento endodóncico varía dependiendo del tipo de diente. Los molares con dos o tres conductos radiculares son más difíciles de tratar y normalmente cuestan más. Nunca olvide que el tratamiento endodóncico es habitualmente más barato que la suma de los honorarios de la extracción de un diente y su reemplazo por otro artificial.
| Antes | Después |
![]() Ver |
![]() Ver |
![]() Ver |
![]() Ver |
|
Ver |
Ver |




