ODONTOLOGÍA ESTÉTICA Y BLANQUEAMIENTO DENTAL
EL BONDING EN LOS DIENTES
El bonding es una de las técnicas de la odontología conservadora estética que ofrece resultados espectaculares en una sola sesión. El bonding es posible gracias a la fusión de un material, la resina compuesta, con la estructura natural del diente, es decir con el esmalte y la dentina.
La resina se aplica adecuadamente en planos, cada uno se polimeriza con una luz halógena para su endurecimiento.
Gracias a estas resinas compuestas y a las técnicas modernas de restauración se pueden remodelar estéticamente los dientes rotos, mal colocados, girados e incluso los dientes separados en las personas que no aceptan o para quienes no es aconsejable la ortodoncia y, lógicamente también las caries. Existen resinas especiales para revestir el esmalte de los dientes muy deteriorados o con grandes alteraciones de color que permiten reproducir su aspecto natural con la máxima precisión.
![]() |
![]() |
El bonding tiene ventajas e inconvenientes.
Como ventajas señalaré que:
- Es una técnica indolora. El material es biocompatible.
- No requiere apenas preparación del diente con la turbina.
- Es un tratamiento reversible y muy conservador. Se puede quitar la resina sin alterar la estructura del diente y volver a colocar otra.
- No precisa anestesia y además el tiempo de realización del tratamiento es corto, en una sola sesión y se consigue un color de esmalte igual al resto de los dientes.
Como inconveniente les comento que:
- La resina tiene una duración limitada, normalmente entre tres y seis años en correcto estado.
- Se puede manchar con el tabaco, café, té.
- Se deteriora con las pastas dentales blanqueadoras, abrasivas o de alto contenido de flúor.
- Y no deben morderse las uñas, masticar hielo o cortar hilos con los dientes para evitar que se rompa el diente restaurado.
Con estas restauraciones invisibles, podrá sonreír más y con mayor frecuencia.
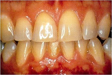
Línea de la sonrisa invertida por desgaste del borde incisal que provoca desarmonía de la sonrisa. |
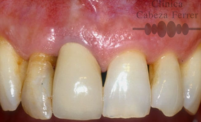
Curvatura del borde incisal restaurado que sigue la curvatura del borde interno del labio inferior. Línea de la sonrisa. |
BLANQUEAMIENTO DENTAL
¿Porqué los dientes pierden su color?
Los dientes permanentes bien calcificados tienen un color blanco amarillento. Los dientes temporales, también llamados dientes de leche, tienen un color blanco nacarado. El color varía con la edad, el sexo y la posición que ocupa en la boca. Los cambios de color alteran la estética dental y pueden provocar problemas psicológicos importantes.
Las alteraciones del color de los dientes, se producen por dos vías:
- Pueden afectar al exterior del diente, se llaman manchas o tinciones, y se adquieren por acumulación de depósitos sobre la superficie del diente, por ejemplo: placa bacteriana, alimentos, sustancias como el té, bebidas colas, tabaco, vino, complejos vitamínicos que contengan hierro, la clorhexidina, originan manchas de color marrón oscuro o negras. Las espinacas, las alcachofas, el chocolate, tomate, fresas, zanahorias, carnes rojas, salsas rojas, curry, también pueden manchar los dientes. El tratamiento adecuado es la eliminación de manchas externas en la clínica dental con una limpieza correcta y mantener una buena higiene bucodental diaria.
- Cuando las alteraciones del color afectan al interior del diente se denominan decoloraciones. Son debidas a la presencia de material cromogénico dentro del esmalte o de la dentina. Las causas pueden ser de origen hereditario o adquirido, entre las que destacamos el exceso de flúor, antibióticos como las tetraciclinas o la eritromicina, hepatitis neonatal, anemia, hipoadrenalismo, hipertiroidismo y cambios de color fisiológico debido al envejecimiento.
La modificación del color puede afectar a un solo diente, por ejemplo después de un traumatismo, de una endodoncia o de una obturación con amalgama de plata o puede ser más generalizada. Es precisamente la coloración generalizada de los dientes de origen endógeno, la más difícil de tratar, por ser debida más frecuentemente a la tetraciclina y al flúor. Por tanto para entender las técnicas de aclaramiento del color, es la palabra correcta y no blanqueamiento, porque no se blanquean los dientes, sino que se aclara el color, es necesario conocer cómo se producen dentro del diente las decoloraciones.
Pigmentación por tetraciclina: La primera identificación cierta de la tetraciclina como causa de manchas dentales fue hecha en 1959 por los Drs. Shwahman, Fekete, Kolczychi y Foley.
Las partículas de tetraciclinas se incorporan a la dentina durante la calcificación del diente. Se forma ortofosfato de tetraciclina, causa de la coloración dentaria. Cuando los dientes teñidos con esta sustancia son expuestos a la luz solar, se tornan gradualmente de tono gris oscuro, marrón o amarillo.
Manchas por flúor: El esmalte veteado es un defecto del desarrollo de los dientes que resulta de beber agua e ingerir comida que tiene excesivas cantidades de flúor durante el periodo de calcificación dentaria. Cuando el contenido de flúor del agua es alto se ve el esmalte fuertemente teñido de marrón. En la fluorosis dental endémica o diente veteado, los dientes afectados son generalmente vidriosos en la superficie y su color puede ser blanco papel con áreas de manchas amarillas o castañas y algunas veces negras.
¿En todos los dientes se puede aclarar el color? No
La mayor o menor eficacia del tratamiento depende de:
- La correcta selección del color susceptible de aclaramiento.
- Del tipo de intensidad y causa de la tinción. Las manchas oscuras de los dientes de la variedad gris azulado y marrón oscuro con estrías no consigue mejorías significativas. En estos casos están más indicadas otras técnicas como las facetas de composites o de porcelana.
- Del agente aclarante elegido y de la concentración activa del mismo.
- Del número de horas que se mantiene el agente aclarante en contacto con los dientes, por tanto también de la actitud del paciente durante el tratamiento.
- Del grado de porosidad del esmalte dental.
- De la correcta higiene dental del paciente, no pudiéndose durante el periodo de tratamiento fumar, beber colas, tomar colorantes, café, té, paellas, vino, etc..
- De la correcta confección de la prótesis de resina, férula.
Evaluación clínica del color, aspecto, forma, separación, tamaño de dientes y encía. Desarmonía dentaría y gingival. |
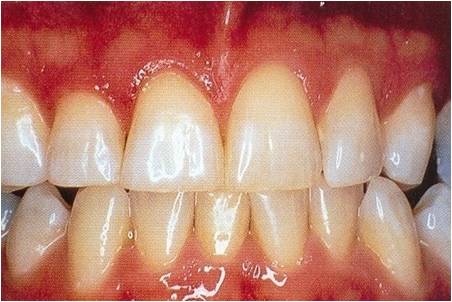
Tamaño, forma, proporción y disposición equilibrada en la encía y dientes antero-superiores. Sensación de armonía. |
El tratamiento se suele limitar a los dientes anteriores que más se ven, generalmente los dientes superiores.
Los mejores resultados se obtienen en:
- Los dientes con un tono uniforme y poco intenso amarillo-marrón por naturaleza u oscurecidos debido a la edad.
- En jóvenes mayores de 16 años, con diversos grados leves de decoloración.
- En tinciones leves de color gris claro y amarillo-claro debido a las tretraciclinas.
- En cambios de color producidos por fluorosis leves o moderadas.
- Tinciones producidas por cigarrillos.
- Es aconsejable aclarar los dientes antes de colocar empastes estéticos en dientes anteriores a partir de los 30 años.
Antes de iniciar el tratamiento se debe realizar una historia clínica y una exploración minuciosa, consistente en radiografías de los dientes a aclarar, estudio del color dental, fotografías, los dientes no pueden tener caries, ni lesiones del esmalte y tienen que estar limpios y sin sarro y con menos del 1/6 de la superficie vestibular empastada. No pueden existir lesiones en las encías ni gingivitis. Los dientes tienen que ser vitales y no puede haber hipersensibilidad dentaria.
Tipos de agentes aclarantes. La mayoría de los agentes aclarantes contienen peróxido de carbamida. El peróxido de carbamida se utiliza normalmente en concentraciones de 10% al 26% en blanqueadores dentales. Este peróxido cuando se expone a los fluidos orales, se descompone, durante el proceso de oxidación, en sus constituyentes: agua, urea y oxigeno. En la clínica dental se utilizan concentraciones más altas: 30-35% de peróxido de hidrogeno. La experiencia clínica actual demuestra que los peróxidos que contienen carbopol proporcionan resultados más efectivos por mejorar la viscosidad y adherencia de material al diente.
Se puede acelerar o activar la reacción química un 10% de peróxido de carbamida es igual al 3% de peróxido de hidrogeno mediante calor, mediante la aplicación de una luz halógena, plasma, leds mediante Láser, pudiendo utilizarse láseres de diodo, argón o CO2, pero el láser por sí mismo no aclara el color de los dientes, su acción es catalizar la reacción de oxidación del peróxido de hidrogeno. El láser como tal no aclara el color. Su tratamiento es costoso para el bolsillo del paciente y a largo plazo no hay diferencia en los resultados comparando con el tratamiento convencional. No está demostrado que la aplicación de Láseres o de luces de alta intensidad mejoren el efecto del agente blanqueante.
Dentro de los dentífricos blanqueadores, unos tienen perborato sódico, otros dióxido de titanio (Tio). El Tio cambia el índice de refracción de los dientes haciendo que se perciban más blancos, pero este cambio es externo, no interno. Los hay que contienen peróxido de carbamida, pero su baja concentración les resta eficacia. Su utilización descontrolada preocupa a los dentistas debido a que se desconocen los efectos derivados de su uso continuo y sin limitaciones. Las personas con dientes sensibles, caries o con alteraciones en el esmalte deben consultar con un especialista de confianza antes de usar de forma incontrolada un dentífrico para aclaramiento del color.
Antes |
Después |
La tonalidad alcanzada se estabiliza un mes y medio después de finalizar el tratamiento en los incisivos. En el caso de los caninos, a los tres meses. El cambio medio de color perdido desde la segunda semana de tratamiento hasta los seis meses es del 45%, controlado con un colorímetro.
Por lo general no se puede lograr un color más claro que el color normal de los dientes.
No hay que olvidar que hay un 20%-34% de recidivas tras el blanqueamiento. Normalmente el 66% de los pacientes muestran un cambio clínicamente observable.
No se conoce cuánto dura el efecto de los dientes aclarados. La experiencia demuestra que los casos que responden bien y rápidamente al tratamiento no cambian su aspecto al menos en tres-cuatro años. Si es necesario, el retratamiento resulta muy corto, sencillo y económico.
Métodos de administración: El método más utilizado para “aclarar el color” básicamente consiste en realizar en la clínica dental una prótesis (férula) personalizada de resina blanda, suave y muy cómoda con reservorios especialmente diseñados con la forma de los dientes que se rellenan con el gel aclarante: una solución viscosa de peróxido de carbomida al 10% a un PH neutro de 6,5 para no irritar las encías y se coloca en la boca preferentemente durante la noche o diariamente entre comidas por un periodo de tiempo limitado y controlado por el Odontoestomatólogo.
Existen cubetas estándar de espuma preimpregnada con peróxido, pero son muy voluminosas y difíciles de mantener en la boca.
Durante el tratamiento o después del mismo podemos encontrar:
Sensibilidad gingival, dentaria y gastrointestinal. Las causas de la sensibilidad, aparte del agente activo, incluyen la presión mecánica de la cubeta, la base de glicerina del producto, la sensibilidad inherente del paciente al cambio…etc..
Conviene que cuando vean anuncios sobre el “blanqueamiento dental” en prensa, radio o televisión, no se dejen influir por la publicidad engañosa. Si le preocupa el color de los dientes, debe consultar con su dentista de confianza, ya que muchos de los contenidos anuncios no sólo no aclaran el color, sino que son lesivos para los dientes e irritantes para las encías y el estómago.
Los honorarios profesionales están condicionados por distintos factores: método elegido, material indicado, número de sesiones, grado de tinción, estudio del color y pruebas complementarias (radiografías, fotografías, tratamiento de las caries existentes y las encías, cambio de empastes, limpieza de boca…etc.) por lo que pueden oscilar notablemente.



Línea de la sonrisa invertida por desgaste del borde incisal que provoca desarmonía de la sonrisa.
Curvatura del borde incisal restaurado que sigue la curvatura del borde interno del labio inferior. Línea de la sonrisa.
Evaluación clínica del color, aspecto, forma, separación, tamaño de dientes y encía. Desarmonía dentaría y gingival.
Tamaño, forma, proporción y disposición equilibrada en la encía y dientes antero-superiores. Sensación de armonía.
Antes
Después